肾脏肿瘤的早期检测和精准分割在医学影像分析中具有重要临床价值,对于提高诊断效率、优化治疗方案及提升患者预后具有深远影响。随着深度学习技术的快速发展,基于计算机视觉的自动化肾脏肿瘤检测和分割方法成为研究热点。本文提出了一种基于YOLOv8深度学习模型的肾脏肿瘤分割系统,该系统不仅能够自动识别并分割肾脏肿瘤,还通过PyQt5构建交互式用户界面,便于医务人员进行影像分析和结果可视化。
本研究首先构建并整理了肾脏CT影像数据集,对数据进行了预处理,包括数据增强、噪声去除和标准化,以提高模型的泛化能力和鲁棒性。其次,采用YOLOv8网络结构进行模型训练,并针对医学影像特征进行了优化,结合迁移学习方法,以在小样本情况下提升检测精度。随后,通过超参数调整和损失函数优化,提高了模型的检测准确率、召回率和分割精度。
在系统实现方面,本文设计并开发了基于PyQt5的交互式用户界面,使用户能够方便地导入CT影像、执行自动检测和分割、调整模型参数,并实时可视化检测结果。该系统支持批量处理,提供高效的肾脏肿瘤检测方案,以辅助医生进行快速筛查和诊断。
实验结果表明,所提出的YOLOv8肾脏肿瘤分割系统在肾脏正常组织与肿瘤区域的分类任务上达到了较高的准确率(Accuracy)、召回率(Recall)和Dice系数(Dice Coefficient),能够有效应对复杂的医学影像场景,同时在计算效率和实时性方面表现良好。与传统的医学影像分割方法相比,该系统显著降低了人工标注负担,并提高了检测的自动化程度。
综上所述,该研究提出了一种基于YOLOv8的高效、智能化的肾脏肿瘤分割系统,为医学影像的自动分析提供了一种新型的计算机辅助诊断(CAD)解决方案。未来,系统可进一步集成多模态医学影像信息,并通过联邦学习等隐私保护技术,提升模型在多中心数据中的适用性,从而推动智能医疗的发展。
算法流程
Tipps:深入解析项目的算法流程,逐步探索技术实现的核心逻辑。从数据加载与预处理开始,到核心算法的设计与优化,再到结果的可视化呈现,每一步都将以清晰的结构和简洁的语言展现,揭示技术背后的原理与实现思路。

硬件环境
我们使用的是两种硬件平台配置进行系统调试和训练:
(1)外星人 Alienware M16笔记本电脑:

(2)惠普 HP暗影精灵10 台式机:

上面的硬件环境提供了足够的计算资源,能够支持大规模图像数据的训练和高效计算。GPU 的引入显著缩短了模型训练时间。
使用两种硬件平台进行调试和训练,能够更全面地验证系统的性能、适应性和稳定性。这种方法不仅提升了系统的鲁棒性和泛化能力,还能优化开发成本和效率,为实际应用场景的部署打下良好基础。
模型训练
Tipps:模型的训练、评估与推理
1.YOLOv8的基本原理
YOLOv8是一个SOTA模型,它建立在Yolo系列历史版本的基础上,并引入了新的功能和改进点,以进一步提升性能和灵活性,使其成为实现目标检测、图像分割、姿态估计等任务的最佳选择。其具体创新点包括一个新的骨干网络、一个新的Ancher-Free检测头和一个新的损失函数,可在CPU到GPU的多种硬件平台上运行。

YOLOv8是Yolo系列模型的最新王者,各种指标全面超越现有对象检测与实例分割模型,借鉴了Yolov5、Yolov6、YoloX等模型的设计优点,在全面提升改进Yolov5模型结构的基础上实现,同时保持了Yolov5工程化简洁易用的优势。
Yolov8模型网络结构图如下图所示:

2.数据集准备与训练
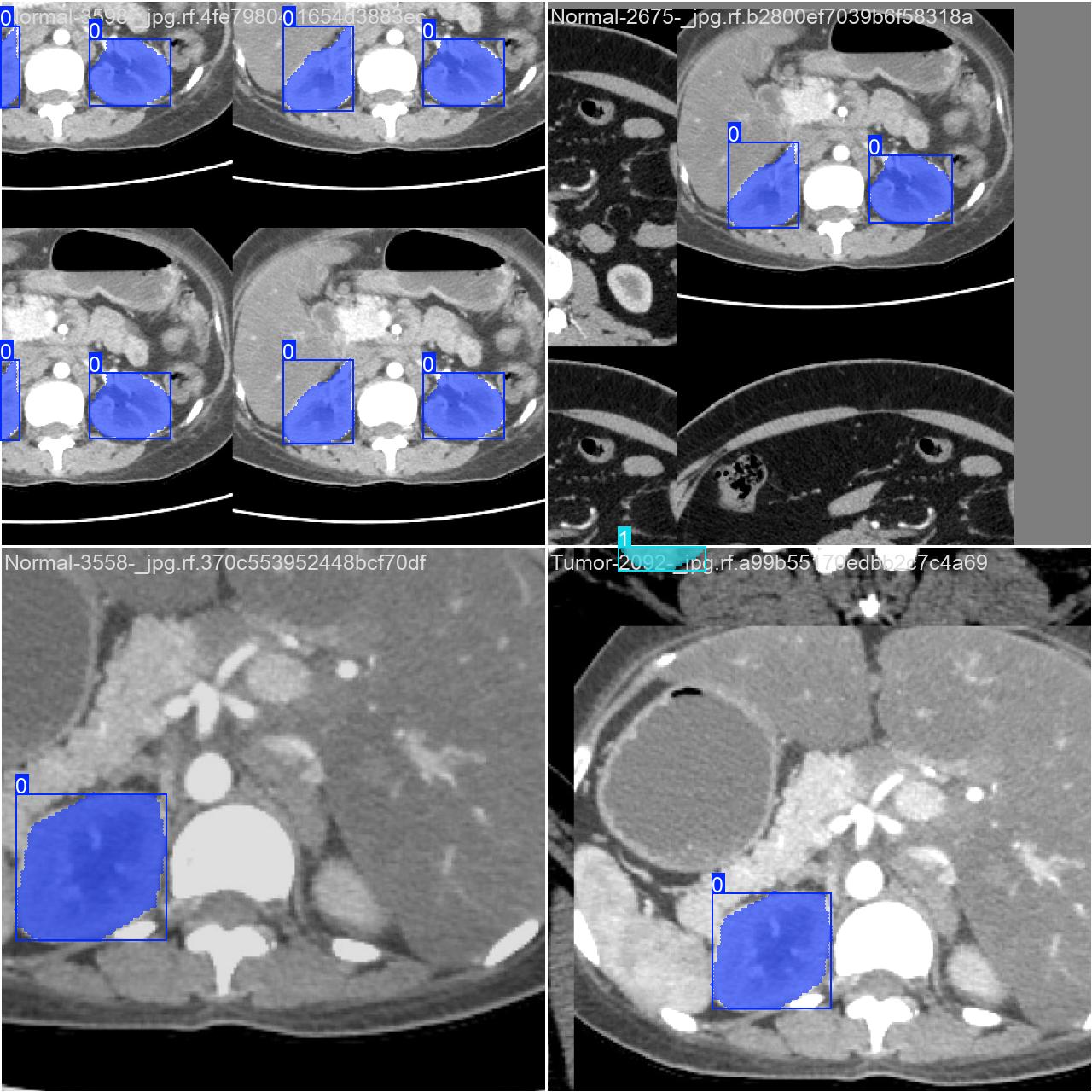
本研究使用了包含肾脏肿瘤分割相关图片的数据集,并使用Labelme标注工具对每张图片中的分割结果及类别进行标注。基于此数据集,采用 YOLOv8n 模型进行训练。训练完成后,对模型在验证集上的表现进行了全面的性能评估与对比分析。整个模型训练与评估流程包括以下步骤:数据集准备、模型训练、模型评估。本次标注的目标类别主要集中于肾脏肿瘤分割相关图片。数据集总计包含 3921 张图像,具体分布如下:
训练集:2745张图片。
验证集:783张图片。
测试集:393张图片。
数据集分布直方图
以下柱状图展示了训练集、验证集的图像数量分布:

部分数据集图像如下图所示:

部分标注如下图所示:

这种数据分布方式保证了数据在模型训练、验证阶段的均衡性,为 YOLOv8n 模型的开发与性能评估奠定了坚实基础。
图片数据的存放格式如下,在项目目录中新建datasets目录,同时将检测的图片分为训练集与验证集放入datasets目录下。

接着需要新建一个data.yaml文件,用于存储训练数据的路径及模型需要进行检测的类别。YOLOv8在进行模型训练时,会读取该文件的信息,用于进行模型的训练与验证。
data.yaml的具体内容如下:

这个文件定义了用于模型训练和验证的数据集路径,以及模型将要检测的目标类别。
数据准备完成后,通过调用train.py文件进行模型训练,epochs参数用于调整训练的轮数,batch参数用于调整训练的批次大小(根据内存大小调整,最小为1)。
CPU/GPU训练代码如下:

加载名为 yolov8n-seg.pt 的预训练YOLOv8模型,yolov8n-seg.pt是预先训练好的分割模型。
使用YOLO模型进行训练,主要参数说明如下:
(1)data:训练数据集的配置文件路径。
(2)epochs=150:训练的迭代次数。
(3)batch=4:每次训练的批次大小。
3.YOLOv8模型训练结果与性能评估
在深度学习的过程中,我们通常通过观察损失函数下降的曲线来了解模型的训练情况。对于 YOLOv8 模型的训练,主要涉及三类损失:定位损失(box_loss)、分类损失(cls_loss)以及动态特征损失(dfl_loss)。这些损失的优化是提升目标检测性能的关键。
损失函数作用说明:
(1)定位损失 (box_loss):表示预测框与标定框之间的误差(GIoU),越小表示定位越准确。
(2)分类损失 (cls_loss):用于衡量锚框与对应的标定分类是否正确,越小表示分类越准确。
(3)动态特征损失 (dfl_loss):DFLLoss用于回归预测框与目标框之间的距离,并结合特征图尺度进行调整,最终提高目标检测的定位准确性。
训练和验证结果文件存储:
训练完成后,相关的训练过程和结果文件会保存在 runs/ 目录下,包括:

(1)损失曲线图(Loss Curves)
(2)性能指标曲线图(mAP、精确率、召回率)
(3)混淆矩阵(Confusion Matrix)
(4)Precision-Recall (P-R) 曲线
损失曲线(Loss Curve)和性能指标分析:

训练集损失:
train/box_loss
含义:边界框损失,反映模型在训练集上对目标边界框定位的误差。
趋势:从较高值逐步下降,表明模型在训练过程中不断优化边界框定位。
train/seg_loss
含义:分割损失,衡量模型对目标分割区域的准确性。
趋势:逐步下降,表明模型在分割任务上的学习效果良好。
train/cls_loss
含义:分类损失,反映模型在训练集上对目标类别分类的误差。
趋势:逐渐下降,表明模型在正确分类物体方面越来越准确。
train/dfl_loss
含义:分布聚焦损失(Distribution Focal Loss),衡量模型对边界框分布的学习效果。
趋势:下降趋势明显,表明模型在边界框回归方面的优化良好。
验证集损失:
val/box_loss
含义:验证集上的边界框损失,衡量模型在验证集上边界框预测的准确性。
趋势:与 train/box_loss 相似,下降趋势表明泛化能力良好。
val/seg_loss
含义:验证集上的分割损失,反映模型在验证集上分割任务的泛化能力。
趋势:逐步下降,与 train/seg_loss 相匹配,表明分割任务优化正常。
val/cls_loss
含义:验证集上的分类损失,衡量模型对验证集中目标类别分类的准确性。
趋势:下降趋势良好,表明模型在测试数据上的分类性能在改善。
val/dfl_loss
含义:验证集上的分布聚焦损失。
趋势:下降趋势稳定,说明模型在边界框优化上泛化良好。
评估指标-类别B:
metrics/precision(B)
含义:表示模型在类别B上的精确度,即模型预测为类别B的样本中有多少比例是真正的类别B。
趋势:迅速上升并趋于稳定,表明模型误报(FP)较少。
metrics/recall(B)
含义:表示模型在类别B上的召回率,即模型能够识别出类别B的样本的比例。
趋势:稳步上升并趋于稳定,表明模型的检测能力逐渐增强。
metrics/mAP50(B)
含义:表示类别B在IoU阈值为0.5时的平均精度(Mean Average Precision)。
趋势:快速上升并稳定,表明检测效果良好。
metrics/mAP50-95(B)
含义:表示类别B在多个IoU阈值(从0.5到0.95)下的平均精度。
趋势:上升并趋于平稳,说明检测精度整体良好。
评估指标-类别M:
metrics/precision(M)
含义:表示模型在类别M上的精确度,和类别B的精确度相同。
趋势:迅速上升并趋于稳定,表明模型在分割任务上的精度较高。
metrics/recall(M)
含义:表示模型在类别M上的召回率,和类别B的召回率相同。
趋势:上升并稳定,说明模型能较好地找到目标区域。
metrics/mAP50(M)
含义:示类别M在IoU阈值为0.5时的平均精度,和类别B的mAP类似。
趋势:快速上升并稳定,说明分割任务在低 IoU 门槛下表现良好。
metrics/mAP50-95(M)
含义:表示类别M在多个IoU阈值下的平均精度,和类别B的mAP类似。
趋势:稳步上升,表明分割任务在不同 IoU 阈值下表现良好。
总结:
(1)所有损失(Loss)均呈下降趋势,表明模型在训练过程中不断优化。
(2)精确率(Precision)、召回率(Recall)和 mAP 指标均呈上升趋势,并趋于稳定,说明模型性能较好。
(3)训练集和验证集的曲线趋势基本一致,表明模型泛化能力良好,没有明显的过拟合。
Precision-Recall(P-R)曲线分析:
定位结果的PR曲线如下:

曲线说明:
浅蓝色(normal 0.993)
(1)代表 正常组织(normal) 的 PR 曲线
(2)mAP@0.5 = 0.993,说明正常组织的检测表现非常好,精准率和召回率都接近 1.0。
橙色(tumor 0.976)
(1)代表 肿瘤(tumor) 的 PR 曲线
(3)mAP@0.5 = 0.976,比正常组织略低,表明模型在肿瘤检测上有一定的误分类,但整体表现仍然较好。
深蓝色(all classes 0.984 mAP@0.5)
(1)代表 所有类别的平均 PR 曲线
(3)mAP@0.5 = 0.984,说明整体分类效果优秀。
总结:
(1)正常组织(normal)检测效果最佳,几乎达到 100% 精确度和召回率。
(2)肿瘤(tumor)分类略逊,但仍有较高的 mAP@0.5,可通过优化数据增强或调整分类阈值进一步提高。
(3)整体模型表现优异(mAP@0.5 = 0.984),适用于高准确率需求的任务。
分割结果的PR曲线如下:

曲线说明:
浅蓝色(normal 0.993)
(1)代表 正常组织(normal) 的 PR 曲线。
(2)mAP@0.5 = 0.993,说明正常组织的分割表现非常好,几乎达到 99.3% 的准确度。
橙色(tumor 0.976)
(1)代表 肿瘤(tumor) 的 PR 曲线。
(2)mAP@0.5 = 0.976,表明模型对肿瘤区域的分割也非常准确,但比正常组织稍逊。
深蓝色(all classes 0.984 mAP@0.5)
(1)代表 所有类别的平均 PR 曲线。
(2)mAP@0.5 = 0.984,整体分割效果优秀。
总结:
(1)正常组织的分割效果极佳(mAP@0.5=0.993),几乎完美。
(2)肿瘤分割性能略低(mAP@0.5=0.976),说明仍有少量误分类或漏检。
(3)整体表现强劲(mAP@0.5=0.984),但可以优化肿瘤类别的召回率,如调整 confidence threshold 或改进数据增强策略。
混淆矩阵 (Confusion Matrix) 分析
混淆矩阵是用于评估分类模型性能的重要工具,它显示了模型在每一类别上的预测结果与实际情况的对比。

结论:
模型对正常组织分类准确率高,但肿瘤误分类较多,背景区分度较低,可优化数据增强和模型参数提升表现。
4.检测结果识别
模型训练完成后,我们可以得到一个最佳的训练结果模型best.pt文件,在runs/train/weights目录下。我们可以使用该文件进行后续的推理检测。
imgTest.py 图片检测代码如下:

模型加载与配置
路径:
(1)path: 加载预训练的YOLOv8分割模型(best.pt)。
(2)img_path: 待检测的图片路径(如 “TestFiles/imagetest.jpg”)。
参数设置:
(1)conf=0.25: 检测的置信度阈值(默认是0.25,可调高/低以控制检测结果)。
(2)iou=0.7: 非极大值抑制(NMS)的IoU阈值,用于去除重叠框。
图片检测
(1)调用 model(img_path) 对指定图像进行分割检测。
(2)检测结果保存在 results 中,可以通过 results[0].plot() 可视化结果。
可视化检测结果
(1)使用 OpenCV 的 imshow 展示分割后的图片,并等待用户关闭窗口。
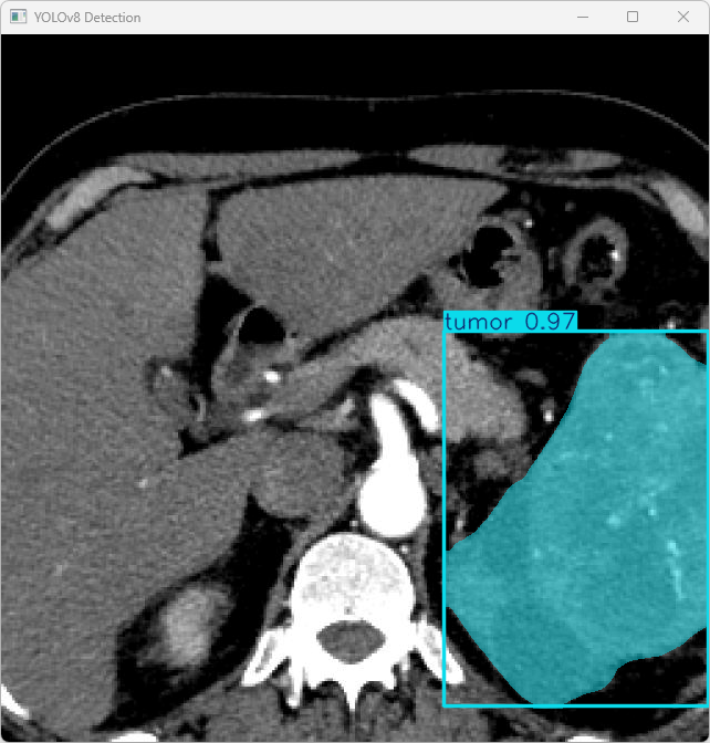
执行imgTest.py代码后,会将执行的结果直接标注在图片上,结果如下:

这段输出是基于YOLOv8模型对图片“benign (9).png”进行检测的结果,具体内容如下:
图像信息:
(1)处理的图像路径为:TestFiles/imagetest.jpg。
(2)图像尺寸为640×640像素。
检测结果:
(1)模型在图片中检测到:1 个肿瘤(tumor)。
处理速度:
(1)预处理时间: 4.5 毫秒
(2)推理时间: 27.1 毫秒
(3)后处理时间: 74.5 毫秒
总结:
YOLOv8模型成功检测到 1 个肿瘤,推理速度良好。
运行效果
– 运行 MainProgram.py

1.主要功能:
(1)可用于实时检测目标图片中的肾脏肿瘤;
(2)支持图片、视频及摄像头进行检测,同时支持图片的批量检测;
(3)界面可实时显示目标位置、目标总数、置信度、用时等信息;
(4)支持图片或者视频的检测结果保存。
2.检测结果说明:

(1)置信度阈值:当前设置为0.25,表示检测系统只会考虑置信度高于25%的目标进行输出,置信度越高表示模型对检测结果的确信度越高。
(2)交并比阈值:当前设置为0.70,表示系统只会认为交并比(IoU)超过70%的检测框为有效结果。交并比是检测框与真实框重叠区域的比值,用于衡量两个框的相似程度,值越高表明重叠程度越高。
这两个参数通常用于目标检测系统中,调整后可以影响模型的检测精度和误检率。
这张图表显示了基于YOLOv8模型的目标检测系统的检测结果界面。以下是各个字段的含义解释:

用时(Time taken):
(1)这表示模型完成检测所用的时间为0.178秒。
(2)这显示了模型的实时性,检测速度非常快。
目标数目(Number of objects detected):
(1)检测到的目标数目为1,表示这是当前检测到的第1个目标。
目标选择(下拉菜单):全部:
(1)这里有一个下拉菜单,用户可以选择要查看的目标类型。
(2)在当前情况下,选择的是“全部”,意味着显示所有检测到的目标信息。

(1)分割面积占比:7.63%
(2)类型:肾脏肿瘤

结果(Result):“严重有病变”,表示系统正在高亮显示检测到的“tumor”。
置信度(Confidence):
(1)这表示模型对检测到的目标属于“坑洞”类别的置信度为95.92%。
(2)置信度反映了模型的信心,置信度越高,模型对这个检测结果越有信心。
目标位置(Object location):
(1)xmin: 0, ymin: 292:目标的左上角的坐标(xmin, ymin),表示目标区域在图像中的位置。
(2)xmax: 182, ymax: 530:目标的右下角的坐标(xmax, ymax),表示目标区域的边界。
这些坐标表示在图像中的目标区域范围,框定了检测到的“肾脏肿瘤”的位置。
这张图展示了肾脏肿瘤分割图像的一次检测结果,包括检测时间、检测到的种类、各行为的置信度、目标的位置信息等。用户可以通过界面查看并分析检测结果,提升肾脏肿瘤分割图像的效率。
3.图片检测说明


点击打开图片按钮,选择需要检测的图片,或者点击打开文件夹按钮,选择需要批量检测图片所在的文件夹。
操作演示如下:
(1)点击目标下拉框后,可以选定指定目标的结果信息进行显示。
(2)点击保存按钮,会对检测结果进行保存,存储路径为:save_data目录下。
检测结果:系统识别出图片中的肾脏肿瘤分割图像情况,并显示检测结果,包括总目标数、用时、目标类型、置信度、以及目标的位置坐标信息。
4.视频检测说明

点击视频按钮,打开选择需要检测的视频,就会自动显示检测结果,再次点击可以关闭视频。
点击保存按钮,会对视频检测结果进行保存,存储路径为:save_data目录下。
检测结果:系统对视频进行实时分析,检测到肾脏肿瘤分割图像并显示检测结果。表格显示了视频中多个检测结果的置信度和位置信息。
这个界面展示了系统对视频帧中的多目标检测能力,能够准确识别肾脏肿瘤分割图像,并提供详细的检测结果和置信度评分。
5.摄像头检测说明

点击打开摄像头按钮,可以打开摄像头,可以实时进行检测,再次点击,可关闭摄像头。
检测结果:系统连接摄像头进行实时分析,检测到肾脏肿瘤分割图像并显示检测结果。实时显示摄像头画面,并将检测到的行为位置标注在图像上,表格下方记录了每一帧中检测结果的详细信息。
6.保存图片与视频检测说明

点击保存按钮后,会将当前选择的图片(含批量图片)或者视频的检测结果进行保存。
检测的图片与视频结果会存储在save_data目录下。
保存的检测结果文件如下:

(1)图片保存

(2)视频保存

– 运行 train.py
1.训练参数设置

加载名为 yolov8n-seg.pt 的预训练YOLOv8模型,yolov8n-seg.pt是预先训练好的分割模型。
使用YOLO模型进行训练,主要参数说明如下:
(1)data:训练数据集的配置文件路径。
(2)epochs=150:训练的迭代次数。
(3)batch=4:每次训练的批次大小。
虽然在大多数深度学习任务中,GPU通常会提供更快的训练速度。
但在某些情况下,可能由于硬件限制或其他原因,用户需要在CPU上进行训练。
温馨提示:在CPU上训练深度学习模型通常会比在GPU上慢得多,尤其是像YOLOv8这样的计算密集型模型。除非特定需要,通常建议在GPU上进行训练以节省时间。
2.训练日志结果

这张图展示了使用YOLOv8进行模型训练的详细过程和结果。
训练总时长:
(1)模型在训练了150轮后,总共耗时1.564小时。
(2)本次训练使用了 NVIDIA GeForce RTX 4070 Ti SUPER GPU。
(3)表现出较高的训练效率,得益于YOLOv8模型的优化设计和高性能硬件的支持。
验证结果:
(1)mAP50: 98.4%%
(2)mAP50-95: 92.8%
速度:
(1)预处理时间:0.2ms
(2)推理时间:1.0ms
(3)后处理时间:0.6ms
结果保存:
(1)Results saved to runs\detect\train_v8:验证结果保存在 runs\detect\train_v8 目录下。
完成信息:
(1)Process finished with exit code 0:表示整个验证过程顺利完成,没有报错。
总结:
模型训练完成,mAP50-95 达 92.6%,推理速度快,肿瘤检测略逊于正常组织,可进一步优化数据增强和参数调整。
基于YOLOv8的肾脏肿瘤分割系统设计

被折叠的 条评论
为什么被折叠?



