无顶冠状静脉窦综合征(unroofed coronary sinus syndrome, UCSS), 又称冠状静脉窦型房间隔缺损, 解剖形态表现为冠状静脉窦与左房间的共同壁完全或部分缺损, 是一种较为罕见的先天性心脏畸形。与临床上较为常见的房间隔缺损相比, UCSS由于解剖位置复杂, 且多伴有永存左上腔静脉(persistent left superior vena cava, PLSVC)等其他心脏畸形的存在, 因此心脏科医师较难进行准确诊断。
目前UCSS的临床分型主要依据为Kirklin分型[, 即将UCSS分为4型:Ⅰ型表现为完全无顶冠状静脉窦合并PLSVC, Ⅱ型表现为完全无顶冠状静脉窦但不合并PLSVC, Ⅲ型为中间型无顶冠状静脉窦, 即缺损存在于冠状静脉窦顶的中部, Ⅳ型为终末端无顶冠状静脉窦, 即缺损存在于冠状静脉窦顶的末端, 靠近冠状静脉窦口处。除了上述分型, 另一种目前较为常用的分型则是根据缺损的解剖位置将UCSS分为3型:Ⅰ型为完全型无顶冠状静脉窦, Ⅱ型为中间型无顶冠状静脉窦, Ⅲ型为终末端无顶冠状静脉窦, 再依据有无合并PLSVC将各亚型分为ab型[。
目前, UCSS报道较少, 本文报道了复旦大学附属中山医院收治的1例UCSS伴卵圆孔未闭病例。
病例资料 女性, 25岁, 因“体检发现心脏杂音2年入院”, 平素一般体力活动可, 劳累后有胸闷气促, 伴有心悸, 无头晕、晕厥, 无下肢浮肿、口唇紫绀。患者入院前14天于门诊体检心超发现“房间隔缺损合并轻度肺动脉高压”, 为进一步手术治疗收治入院。既往史:无高血压等慢性疾病病史, 无手术史, 余无殊。入院时体格检查:体温36.5 ℃, 血压132/76 mmHg (1mmHg=0.133 kPa, 下同), 脉搏78次/分, 呼吸20次/分。神志清, 发育正常, 口唇指甲无发绀, 心前区可见隆起, 心尖搏动位于左侧第5肋间锁骨中线内侧, 搏动范围弥散。心尖区未扪及震颤及心包摩擦感, 心界不增大, 听诊心率78次/分, 律齐, 胸骨左缘2、3肋间可闻及Ⅲ级收缩期杂音。入院后心电图提示:窦性心率。经胸超声心动图(transthoracic echocardiography, TTE)提示(

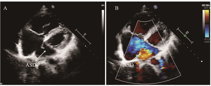
A:Transthoracic echocardiogram showing a defect close to the ostium of the coronary sinus, which is a partially unroofed terminal portion of the coronary sinus.B:Color Doppler showing left to right shunt.
图 1 无顶冠状静脉窦综合征(UCSS)患者经胸超声心动图(TTE)图像
Fig 1 Unroofed coronary sinus syndrome (UCSS) shown by transthoracic echocardiography (TTE)
手术经过 患者入院完善检查后, 行人工房间隔再造术, 术中行经食管超声心动图(trans esophageal echocardiograhy, TEE)提示(

A:Transesophageal echocardiogram confirmed that the defect close to the ostium of the coronary sinus, which is a Type Ⅳ UCSS.B:Color Doppler showing left to right shunt.
图 2 无顶冠状静脉窦综合征(UCSS)患者经食道超声心动图(TEE)图像
Fig 2 Unroofed coronary sinus syndrome (UCSS) shown by transesophageal echocardiography (TEE)
术后情况 患者术后第2天拔除引流管, 术后第4天复查TTE提示:(1)右房室形态略饱满。右室壁收缩活动减弱, 三尖瓣环收缩期位移(tricuspid annular plane systolic excursion, TAPSE)为13 mm; (2)房间隔于冠状静脉窦口可见补片回声, 彩色多普勒未测及房水平残余分流, 部分冠状静脉可见回流入左房。结论:冠状静脉窦型房缺修补术后未见明显残余分流。患者康复出院后于门诊定期随访。
讨论 目前, 对于UCSS的发育形成机制还尚无定论。研究表明, 在胚胎发育的第8周, 左前主静脉退化为Marshall韧带, 同时一根分流静脉逐步发育形成左无名静脉, 从而使得左侧颅面部静脉血得以引流至右前主静脉。当右侧静脉窦逐步扩大并收集来自上腔和下腔静脉血的同时, 左侧静脉窦相邻的左右总主静脉收集心脏静脉血并逐步形成了冠状静脉窦[。如果左前主静脉没有退化, 那么PLSVC将会使得静脉血引流至冠状静脉窦[。Raghib于1965年首先报道了以引流至左房的左上腔静脉、房间隔缺损以及冠状静脉窦缺失为临床特征的病例, 并首先对这一疾病进行了描述[。直到1974年, Peterson首次提出了无顶冠状静脉窦的概念[。Knauth等[则提出冠状静脉窦顶部起先是完整的, 随着顶部及相应左房部分破坏才最终导致部分或完全型无顶冠状静脉窦。
由于UCSS临床症状较难与常见类型的房间隔缺损区别, 很难依靠临床症状进行诊断, 因此需要借助辅助检查手段如超声心动图、CT以及MRI[。超声心动图目前仍是临床上最为常用的检查手段, 但是由于冠状静脉窦解剖位置位于心脏后方, 因此TTE诊断UCSS存在一定难度。根据目前的临床研究报道, UCSS合并的常见心脏畸形除了PLSVC外, 还包括继发孔型房间隔缺损、室间隔缺损及肺静脉异位引流[。Ⅰ型UCSS由于合并PLSVC, 因此TTE往往较易发现, 而Ⅱ、Ⅲ、Ⅳ型UCSS需要多切面观察冠状静脉窦进行判断, 对于异常右房扩张以及冠状静脉窦扩张或缺失的患者, 应进一步通过右心声学造影、TEE进行评估[。必要时还可以借助CT或MRI明确是否存在UCSS[。
对于Kirklin分型Ⅳ型或者解剖分型Ⅲb型的患者, 由于缺损部位位于冠状静脉窦终末端, 解剖上距离心脏传导束较近, 因此在对此类UCSS进行手术时, 除了需要考虑如何恢复正常解剖结构外, 还需要在手术中减少对于心脏传导组织的损伤。本例患者术中将冠状静脉窦开口隔至右心房的同时, 对于冠状静脉窦左心房开口留于左心房, 这样的手术操作在简化手术过程的同时也最大程度避免对心脏传导束的损伤。术后第4天TTE提示部分冠状静脉可见回流入左房, 由此产生的右向左分流不会产生重要生理影响[。此外, 术后第4天复查的心超结果还提示TAPSE为13 mm, 肺动脉压力25 mmHg, 提示右心功能不全可能。对于该型UCSS由于行右心房切口, 且UCSS修复手术操作需要对其解剖分型进行详细探查并决定手术方式。因此, 该例患者术后右心功能可能恢复较慢, 有待进一步随访。
本例UCSS患者, 为Kirklin分型Ⅳ型或解剖分型Ⅲb型, 因体检发现心脏杂音就诊, 门诊TTE检查发现房水平左向右分流, 诊断为房间隔缺损合并轻度肺动脉高压入院。入院后复查TTE通过多切面观察确定了UCSS, 并且通过右心声学造影进一步排除了PLSVC的存在。术中TEE以及手术探查也和术前超声诊断一致。从该病例看, TTE极易将UCSS与I孔型房间隔缺损混淆, 在超声切面显示较差且临床症状或血流动力学与实际不符合时, 应该对冠状静脉窦进行多切面观察, 必要时应进行右心声学造影对心房水平分流进行判断[。此外, 若在术前未明确诊断, 但在心脏外科手术中发现上腔静脉发育偏小或者无名静脉缺失的情况应该高度怀疑PLSVC的可能。若术中发现冠状静脉窦开口扩张或者无法在常规位置找到开口, 则应该怀疑UCSS的存在, 并做进一步的探查
总体来说, UCSS临床上较为少见, 且由于超声表现与房间隔缺损易混淆, 对于冠状静脉窦扩张或缺失的情况下, 应考虑UCSS的可能, 并且应该排除是否合并PLSVC, 从而制定正确的诊疗及手术方案。
379

被折叠的 条评论
为什么被折叠?



