前言

局部放大效果图是我们实验中比较常见的,是为了将更小的部分进行放大观察。这种图使用Ps和Ai都可以做,不难。在AI里主要涉及到了剪切蒙版的设置,使用圆形线圈对图进行剪切,放大就可以了。那么我们今天来看一下,这种图怎么做?
软件


视频教程

图文教程

2. 拖入照片素材,用圆圈选择需要放大的部分
3. 然后把这个图片和线圈复制一份放在旁边,并放大至自己满意即可
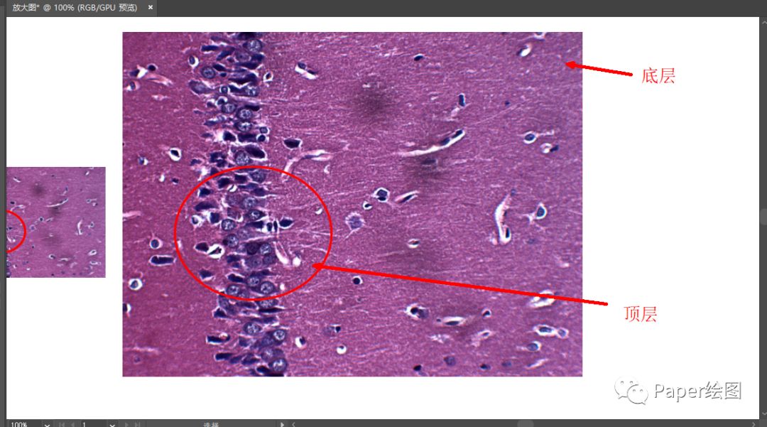
4. 然后我们将右边的图中的红圈置于顶层,图片置于底层,同时选中,右击,建立剪切蒙版
5. 最后我们使用钢笔工具画一些线条和椭圆,做一个放大效果
6. 然后我们选中图中所有的线条,进行虚线的设置
7. 最后我们看一下放大效果,是不是就完美展现了,赶紧来试试吧
今天就介绍到这里了,如果你觉得有用,那为什么不分享给更多的朋友呢?

让天下没有难发的文章,让科研没有难绘的图!
微信号:Paper绘图
英文ID:Paper-drawing2019
本文介绍了如何在AI中创建局部放大效果图,主要利用剪切蒙版和圆形线圈工具来实现,步骤简单易懂,适合实验观察和科研制图。
2416

被折叠的 条评论
为什么被折叠?



