一、CT图像后处理技术
CT图像后处理技术是指对CT扫描所得的原始数据进行一系列操作,以获得更直观、更准确的诊断信息。以下是CT图像后处理技术的主要内容:
图像重建:这是CT图像后处理的第一步。通过对原始数据进行重建算法处理,生成适合诊断的图像。常用的算法包括滤波、卷积、最大密度投影等。
图像去噪:由于CT扫描过程中存在各种噪声,如电子噪声、运动噪声等,这些噪声会影响图像的质量和诊断的准确性。因此,需要对图像进行去噪处理,常用的方法包括中值滤波、高斯滤波等。
图像增强:通过对图像的对比度、亮度等进行调整,以提高图像的可视性和诊断价值。常用的方法包括直方图均衡化、对比度增强等。
图像分割:将感兴趣的区域从图像中提取出来,以便于对特定组织或病变进行分析。常用的方法包括阈值分割、区域生长等。
三维重建:通过对多个CT扫描的图像进行三维重建,以获得更直观、更立体的诊断信息。常用的方法包括表面重建、体积重建等。
定量分析:通过对CT图像中的组织或病变进行定量分析,如体积测量、密度测量等,以获得更准确的诊断信息。常用的方法包括ROI测量、体积测量等。
血管分析:通过对CT图像中的血管进行提取和分析,以评估血管的形态和结构。常用的方法包括血管追踪、血管壁厚度测量等。
总之,CT图像后处理技术是提高诊断准确性和可视性的重要手段,不同的后处理技术可以根据不同的需求应用于不同的临床场景。
二、介绍CT
介绍CT(计算机断层扫描)作为一种常用的医学影像技术,对临床诊断的重要性。本文将介绍一些简单易懂的方法,帮助医生提高CT影像的临床诊断水平。
1. 选择适当的扫描参数
在选择适当的扫描参数时,需要了解不同扫描参数的影响。以下是一些常见的扫描参数及其影响:
扫描层厚:扫描层厚是指CT扫描时每个层面的厚度。较大的扫描层厚可以提高图像的信噪比,减少噪声,但会降低图像的空间分辨率。较小的扫描层厚可以提高图像的空间分辨率,但会增加噪声。因此,在选择扫描层厚时,需要根据需要平衡图像的清晰度和噪声水平。
扫描间隔:扫描间隔是指相邻层面之间的距离。较大的扫描间隔可以减少扫描时间和辐射剂量,但会降低图像的空间分辨率和准确性。较小的扫描间隔可以提高图像的空间分辨率和准确性,但会增加扫描时间和辐射剂量。因此,在选择扫描间隔时,需要根据需要平衡图像的清晰度和扫描时间。
扫描时间:扫描时间是指完成整个CT扫描所需的时间。较短的扫描时间可以减少运动伪影和呼吸伪影,但可能会降低图像的空间分辨率和准确性。较长的扫描时间可以提高图像的空间分辨率和准确性,但可能会增加运动伪影和呼吸伪影。因此,在选择扫描时间时,需要根据需要平衡图像的清晰度和运动伪影的风险。
此外,根据病情和部位选择合适的扫描参数也非常重要。不同器官或病变对扫描参数的要求可能不同。例如,对于头部CT扫描,较小的扫描层厚和间隔可以提高图像的空间分辨率,对于肺部CT扫描,较大的扫描层厚和间隔可以减少辐射剂量。因此,在选择扫描参数时,需要根据具体的病情和部位来确定最合适的参数。总之,选择适当的扫描参数是提高CT影像临床诊断水平的关键。医生需要了解不同扫描参数的影响,并根据病情和部位选择合适的参数,以获得清晰、准确的CT影像。
2. 正确解读CT影像
正确解读CT影像是提高临床诊断水平的关键,了解不同器官在CT影像上的正常表现是正确解读的基础。医生应熟悉各个器官的形态、密度和位置,以便发现异常。
不同病变在CT影像上有其典型的表现特征,医生应学习各种病变在CT上的典型表现,如肿瘤的形态、边界、密度等,感染的炎症表现,出血的密度和分布等。这样可以更准确地识别和评估病变。
将CT影像与患者的病史、体征等综合考虑,可以提高诊断的准确性。临床信息可以提供对病变的定位、性质和可能的病因的线索,有助于解读CT影像。
在解读CT影像时,医生应注意细节和对比。细节包括病变的边界、形态、密度、大小等。医生应仔细观察病变的边界是否清晰、形态是否规则,密度是否均匀等。对比是指将病变与周围正常组织进行对比,观察其与周围组织的差异。通过注意细节和对比,可以更准确地评估病变的性质和严重程度。
CT影像提供了多个切面的信息,包括横断面、冠状面和矢状面。医生应该在不同的切面上观察病变,以获取更全面的信息。有时,病变在某个切面上可能不明显,但在其他切面上可能更明显。CT影像解读是一个需要不断学习和积累经验的过程。医生应参加专业培训和学术会议,了解最新的CT技术和临床应用。同时,与同行交流和讨论,分享经验和学习,可以提高自身的诊断水平。
3. 注意影像质量控制
调整窗宽窗位是一种常用的方法,可以改变图像的对比度和亮度,使图像显示更清晰。通过调整窗宽窗位,医生可以突出感兴趣的结构,并减少噪声的干扰。
伪影和伪结构是由于技术因素或解剖结构之间的相互干扰而产生的图像异常。例如,金属伪影是由于金属物体在CT扫描中产生的,可以通过调整扫描参数或使用金属伪影抑制算法来减少金属伪影。运动伪影是由于患者的呼吸或运动而产生的,可以通过呼吸指导或使用运动伪影抑制算法来减少运动伪影。
合理使用辐射剂量是保证患者安全的重要因素,医生应根据患者的具体情况和临床需要,选择适当的扫描参数和辐射剂量。同时,应遵循辐射保护原则,尽量减少辐射剂量,避免过度曝光。
通过注意影像质量控制,医生可以获得更清晰、准确的CT影像,提高临床诊断的准确性。同时,注意剂量控制也能保护患者的健康和安全。在实际操作中,医生应熟悉不同的影像质量控制方法和技巧,并根据具体情况进行调整和优化。
三、增强CT
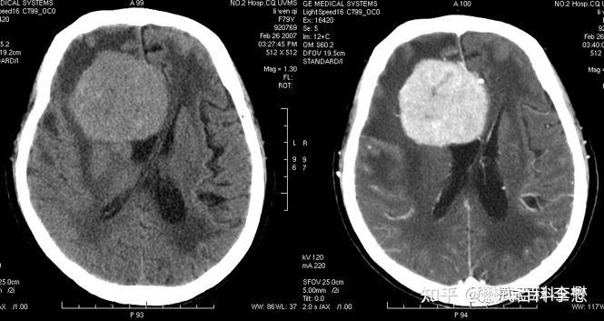
影像检查中除了依赖于成像技术及人体组织的天然对比,很多时候还会打入增加图像对比度的对比剂。
增强CT是指通过注射外源性的对比剂,比如CT常用碘剂,来提高图像的对比度。这种对比剂一般是通过静脉注射随着血液进入人体。
如图所示,左边是CT平扫,右边是CT增强扫描。可以发现肿瘤组织明显强化,在图像上更白了。
CT增强的对比剂主要是碘。
所以,CT平扫和CT增强结果相差大不大,主要取决于组织对于碘剂的摄取。如果摄取多了,那么强化就明显,其增强与平扫的差别就很大。
CT图像显示技术中,应用多而且最主要的技术是:窗口
参考文献
[1] 如何提高CT影像的临床诊断水平
[2] CT的操作流程
[3] CT的工作原理是什么?
[4] 影响CT图像的技术因素有哪些?
[5] 医学生考核|CT扫描各部位机器调整参数总结
[6] 看不懂CT招标参数?读这篇就够了(6):图像质量篇
[7] 影像医生夜班必备:CT增强技能汇总
[8] 医学影像学中的影像对比度的计算和处理方法
2981

被折叠的 条评论
为什么被折叠?



