ITK-基于Mattes互信息的二维多模态配准算法

作者:翟天保Steven
版权声明:著作权归作者所有,商业转载请联系作者获得授权,非商业转载请注明出处

前言

       ‌‌在医学图像处理中,多模态图像配准是实现不同成像技术(如 MRI 的 T1 序列与质子密度序列、CT 与 PET)图像融合的核心步骤。由于不同模态图像的灰度分布差异显著(例如 T1 加权 MRI 侧重解剖结构,质子密度 MRI 侧重组织水分含量),传统基于灰度相似性的度量(如均方误差 MSE)不再适用。

       ‌‌ITK(Insight Segmentation and Registration Toolkit)作为开源医学图像处理标杆工具包,提供了专为多模态场景设计的Mattes 互信息相似度度量,可有效捕捉不同模态图像间的统计相关性。本文将基于 ITK 官方例程,详细讲解采用 Mattes 互信息度量与平移变换的二维多模态配准算法实现,重点解决多模态图像因患者轻微移动导致的 “平移类错位” 问题。

环境准备

参见:Windows下用CMake编译ITK及配置测试_itk配置-CSDN博客

功能说明

       图像配准的核心是寻找最优空间变换,使浮动图像(待对齐图像)与固定图像(参考图像)的相似度最高。本方案针对多模态场景设计,核心组件及原理如下:

1. 空间变换:2D 平移变换(TranslationTransform)

       平移变换是多模态配准中最基础的刚性变换(不改变图像尺度与旋转角度),仅包含2 个自由度,专门解决 “纯平移” 类错位:

  • 平移:X 轴、Y 轴方向的位移调整(单位:像素 / 物理毫米,取决于图像间距)。
  • 适用场景:多模态医学影像中因患者扫描时轻微平移(如呼吸、肢体移动)导致的图像错位(如 MRI T1 切片与质子密度切片的位置偏差)。

2. 相似度度量:Mattes 互信息(Mattes Mutual Information)

       Mattes 互信息是多模态配准的 “核心利器”,其本质是通过计算两图像灰度分布的统计依赖关系衡量相似度,而非直接比较灰度值:

  • 原理:通过构建两图像的联合灰度直方图,估算互信息值 —— 互信息值越大,说明两图像的空间对应关系越紧密(即对齐效果越好)。
  • 优势:不依赖灰度分布一致性,完美适配多模态场景(如 T1 MRI 与质子密度 MRI、CT 与 MRI 的配准)。
  • 关键参数:numberOfBins(直方图箱数量)—— 控制联合直方图的分辨率,通常取 20~30(本文设为 24,平衡计算精度与效率)。

3. 优化器:正则步长梯度下降(RegularStepGradientDescentv4)

       优化器的目标是 “最大化 Mattes 互信息值”(ITK 内部通过负互信息转换为最小化问题),找到最优平移参数。本方案配置的优化器核心特性:

  • 自适应步长:初始步长较大(快速接近最优解),迭代中逐步减小(避免在最优解附近震荡);
  • 松弛因子:设为 0.8,进一步平滑步长调整,提升收敛稳定性;
  • 早停机制:当步长小于MinimumStepLength(本文 0.001)或达到NumberOfIterations(本文 200)时停止;
  • 结果回溯:启用ReturnBestParametersAndValueOn(),确保返回迭代过程中最优的参数(而非最后一次迭代参数)。

4. 采样策略:随机采样(Random Sampling)

       多模态配准中全像素计算互信息效率较低,本方案采用20% 随机采样

  • 原理:从图像中随机选取部分像素点计算互信息,在保证精度的前提下降低计算量;
  • 可重现性:设置固定随机种子(121213),确保每次运行结果一致,便于调试与验证。

5. 可视化工具:棋盘图(CheckerBoard Image)

       为直观对比配准效果,代码生成配准前后的棋盘图

  • 原理:将固定图像与浮动图像按棋盘格模式交替拼接(如 2x2 像素块);
  • 效果:配准前棋盘格明显错位,配准后棋盘格无缝对齐,可直接通过视觉判断配准精度。

代码模块解析

       本节按 “配准流水线” 拆解代码,清晰说明各模块的功能与逻辑关联。

1. 配准框架搭建:定义核心组件并关联

       首先定义各组件的类型(适配 2D 浮点型图像),并实例化关联,构建完整配准链路:

// 图像维度与像素类型
constexpr unsigned int Dimension = 2;
using PixelType = float;
using FixedImageType = itk::Image<PixelType, Dimension>;  // 固定图像(参考)
using MovingImageType = itk::Image<PixelType, Dimension>; // 浮动图像(待对齐)

// 核心组件类型
using TransformType = itk::TranslationTransform<double, Dimension>; // 平移变换
using OptimizerType = itk::RegularStepGradientDescentOptimizerv4<double>; // 优化器
using MetricType = itk::MattesMutualInformationImageToImageMetricv4<FixedImageType, MovingImageType>; // 互信息度量
using RegistrationType = itk::ImageRegistrationMethodv4<FixedImageType, MovingImageType, TransformType>; // 配准器

// 实例化并关联
auto optimizer = OptimizerType::New();
auto metric = MetricType::New();
auto registration = RegistrationType::New();
registration->SetOptimizer(optimizer); // 配准器绑定优化器
registration->SetMetric(metric);       // 配准器绑定度量

2. 图像读取与 IO 配置:支持多模态图像加载

       注册 PNG 图像 IO 工厂,确保能读取多模态 MRI 切片(如 T1 序列与质子密度序列):

// 注册PNG IO工厂,支持PNG格式读写
itk::PNGImageIOFactory::RegisterOneFactory();

// 图像读取器
using FixedImageReaderType = itk::ImageFileReader<FixedImageType>;
using MovingImageReaderType = itk::ImageFileReader<MovingImageType>;
auto fixedImageReader = FixedImageReaderType::New();
auto movingImageReader = MovingImageReaderType::New();

// 设置多模态图像路径(固定:T1序列;浮动:质子密度序列)
fixedImageReader->SetFileName("ExampleData\\BrainT1SliceBorder20.png");
movingImageReader->SetFileName("ExampleData\\BrainProtonDensitySliceShifted13x17y.png");

// 配准器绑定输入图像
registration->SetFixedImage(fixedImageReader->GetOutput());
registration->SetMovingImage(movingImageReader->GetOutput());

3. 度量与优化器参数配置:适配多模态场景

(1)Mattes 互信息度量配置

       关闭梯度滤波器(多模态图像梯度特征差异大,梯度计算易引入噪声),设置直方图箱数量:

metric->SetNumberOfHistogramBins(24);  // 直方图箱数量(核心参数)
metric->SetUseMovingImageGradientFilter(false); // 关闭浮动图像梯度滤波
metric->SetUseFixedImageGradientFilter(false);  // 关闭固定图像梯度滤波
(2)优化器参数配置

       设置学习率、迭代次数等关键参数,确保稳定收敛:

optimizer->SetLearningRate(8.00);          // 初始学习率(步长)
optimizer->SetMinimumStepLength(0.001);    // 最小步长(早停条件1)
optimizer->SetNumberOfIterations(200);     // 最大迭代次数(早停条件2)
optimizer->ReturnBestParametersAndValueOn();// 启用最优参数回溯
optimizer->SetRelaxationFactor(0.8);       // 松弛因子(平滑步长调整)
(3)迭代观察者:监控配准过程

       自定义CommandIterationUpdate类,实时输出迭代次数、当前度量值与平移参数,便于调试:

class CommandIterationUpdate : public itk::Command
{
public:
    itkNewMacro(Self); // ITK智能指针构造
    using OptimizerType = itk::RegularStepGradientDescentOptimizerv4<double>;

    void Execute(const itk::Object* object, const itk::EventObject& event) override
    {
        auto optimizer = static_cast<const OptimizerType*>(object);
        if (itk::IterationEvent().CheckEvent(&event))
        {
            // 输出:迭代次数 + 互信息值(负的,因ITK转为最小化问题) + 平移参数
            std::cout << optimizer->GetCurrentIteration() << "   ";
            std::cout << optimizer->GetValue() << "   ";
            std::cout << optimizer->GetCurrentPosition() << std::endl;
        }
    }
};

// 注册观察者到优化器
auto observer = CommandIterationUpdate::New();
optimizer->AddObserver(itk::IterationEvent(), observer);

4. 采样策略配置:平衡效率与精度

       设置随机采样比例与种子,降低计算量并确保结果可重现:

// 采样策略:随机采样
registration->SetMetricSamplingStrategy(RegistrationType::MetricSamplingStrategyEnum::RANDOM);
registration->SetMetricSamplingPercentage(0.20); // 采样20%像素
registration->MetricSamplingReinitializeSeed(121213); // 固定随机种子

5. 配准执行与异常处理

       调用Update()执行配准,通过try-catch捕获 ITK 异常(如文件路径错误、参数非法):

try
{
    registration->Update();
    std::cout << "优化器停止条件: " << registration->GetOptimizer()->GetStopConditionDescription() << std::endl;
}
catch (const itk::ExceptionObject& err)
{
    std::cerr << "捕获到异常: " << err << std::endl;
    return EXIT_FAILURE;
}

6. 结果提取与打印

       获取最终平移参数、迭代次数与最优度量值,验证配准效果:

// 提取最终平移参数(X、Y方向)
TransformType::ParametersType finalParameters = registration->GetOutput()->Get()->GetParameters();
double TranslationAlongX = finalParameters[0];
double TranslationAlongY = finalParameters[1];

// 提取迭代信息
unsigned int numberOfIterations = optimizer->GetCurrentIteration();
double bestValue = optimizer->GetValue();

// 打印结果
std::cout << "结果 = " << std::endl;
std::cout << " X方向平移 = " << TranslationAlongX << std::endl;
std::cout << " Y方向平移 = " << TranslationAlongY << std::endl;
std::cout << " 迭代次数 = " << numberOfIterations << std::endl;
std::cout << " 最优度量值 = " << bestValue << std::endl;

7. 重采样与结果保存

       将浮动图像通过最优变换重采样到固定图像坐标系,转换为 8 位无符号 char 类型并保存为 PNG:

// 重采样滤波器(将浮动图像对齐到固定图像空间)
using ResampleFilterType = itk::ResampleImageFilter<MovingImageType, FixedImageType>;
auto resample = ResampleFilterType::New();
resample->SetTransform(registration->GetTransform()); // 应用最优变换
resample->SetInput(movingImageReader->GetOutput());
resample->SetSize(fixedImage->GetLargestPossibleRegion().GetSize()); // 匹配固定图像尺寸
resample->SetOutputOrigin(fixedImage->GetOrigin()); // 匹配固定图像原点
resample->SetOutputSpacing(fixedImage->GetSpacing()); // 匹配固定图像间距
resample->SetDefaultPixelValue(100); // 边界填充像素值

// 类型转换(float -> unsigned char)与保存
using OutputPixelType = unsigned char;
using OutputImageType = itk::Image<OutputPixelType, Dimension>;
using CastFilterType = itk::CastImageFilter<FixedImageType, OutputImageType>;
using WriterType = itk::ImageFileWriter<OutputImageType>;

auto caster = CastFilterType::New();
auto writer = WriterType::New();
caster->SetInput(resample->GetOutput());
writer->SetInput(caster->GetOutput());
writer->SetFileName("Output\\ImageRegistration4Output.png");
writer->Update();

8. 棋盘图生成:可视化配准效果

       生成配准前后的棋盘图,直观对比对齐效果:

// 棋盘图滤波器
using CheckerBoardFilterType = itk::CheckerBoardImageFilter<FixedImageType>;
auto checker = CheckerBoardFilterType::New();
checker->SetInput1(fixedImage); // 输入1:固定图像
checker->SetInput2(resample->GetOutput()); // 输入2:浮动图像(重采样后)

// 配准前棋盘图(用恒等变换,即未对齐状态)
auto identityTransform = TransformType::New();
identityTransform->SetIdentity();
resample->SetTransform(identityTransform);
writer->SetFileName("Output\\ImageRegistration4CheckerboardBefore.png");
writer->SetInput(caster->GetInput()); // caster输入已绑定棋盘图
writer->Update();

// 配准后棋盘图(用最优变换)
resample->SetTransform(registration->GetTransform());
writer->SetFileName("Output\\ImageRegistration4CheckerboardAfter.png");
writer->Update();

使用说明

  1. 需安装ITK库及相关依赖。
  2. 将ITK官方项目中Examples\Data中的图像文件(文件名字与例程中名字一致),复制到你项目的路径下,并更改代码。
  3. 编译时需链接 ITK的库文件。 

完整代码

#include <itkImageRegistrationMethodv4.h>
#include <itkTranslationTransform.h>
#include <itkMeanSquaresImageToImageMetricv4.h>
#include <itkRegularStepGradientDescentOptimizerv4.h>
#include <itkMattesMutualInformationImageToImageMetricv4.h>
#include <itkImageFileReader.h>
#include <itkImageFileWriter.h>
#include <itkResampleImageFilter.h>
#include <itkCastImageFilter.h>
#include <itkImageIOFactory.h>
#include <itkPNGImageIOFactory.h>
#include <itkCommand.h>
#include <itkCheckerBoardImageFilter.h>
#include <itkMersenneTwisterRandomVariateGenerator.h>

class CommandIterationUpdate : public itk::Command
{
public:
    using Self = CommandIterationUpdate;
    using Superclass = itk::Command;
    using Pointer = itk::SmartPointer<Self>;
    itkNewMacro(Self);

protected:
    CommandIterationUpdate() = default;

public:
    using OptimizerType = itk::RegularStepGradientDescentOptimizerv4<double>;
    using OptimizerPointer = const OptimizerType*;

    void Execute(itk::Object* caller, const itk::EventObject& event) override
    {
        Execute((const itk::Object*)caller, event);
    }

    void Execute(const itk::Object* object, const itk::EventObject& event) override
    {
        auto optimizer = static_cast<OptimizerPointer>(object);
        if (!itk::IterationEvent().CheckEvent(&event))
        {
            return;
        }
        // 输出当前迭代次数、度量值和位置
        std::cout << optimizer->GetCurrentIteration() << "   ";
        std::cout << optimizer->GetValue() << "   ";
        std::cout << optimizer->GetCurrentPosition() << std::endl;
    }
};

int main(int argc, char* argv[])
{
    // 固定输入输出文件名
    const char* fixedImageFile = "ExampleData\\BrainT1SliceBorder20.png";
    const char* movingImageFile = "ExampleData\\BrainProtonDensitySliceShifted13x17y.png";
    const char* outputImageFile = "Output\\ImageRegistration4Output.png";
    const int defaultPixelValue = 100;  // 默认像素值参数
    const char* checkerboardBeforeFile = "Output\\ImageRegistration4CheckerboardBefore.png";
    const char* checkerboardAfterFile = "Output\\ImageRegistration4CheckerboardAfter.png";
    const unsigned int numberOfBins = 24;  // 直方图箱数量参数

    // 创建PNG工厂
    itk::PNGImageIOFactory::RegisterOneFactory();

    constexpr unsigned int Dimension = 2;  // 图像维度
    using PixelType = float;              // 处理用像素类型
    using FixedImageType = itk::Image<PixelType, Dimension>;  // 固定图像类型
    using MovingImageType = itk::Image<PixelType, Dimension>; // 移动图像类型
    using TransformType = itk::TranslationTransform<double, Dimension>;  // 平移变换类型
    using OptimizerType = itk::RegularStepGradientDescentOptimizerv4<double>; // 优化器类型
    using RegistrationType = itk::ImageRegistrationMethodv4<FixedImageType, MovingImageType, TransformType>; // 配准器类型
    using MetricType = itk::MattesMutualInformationImageToImageMetricv4<FixedImageType, MovingImageType>;  // 互信息度量类型

    auto optimizer = OptimizerType::New();    // 创建优化器实例
    auto registration = RegistrationType::New();  // 创建配准器实例
    registration->SetOptimizer(optimizer);   // 为配准器设置优化器

    auto metric = MetricType::New();  // 创建度量实例
    registration->SetMetric(metric);  // 为配准器设置度量
    metric->SetNumberOfHistogramBins(numberOfBins);  // 设置直方图箱数量
    metric->SetUseMovingImageGradientFilter(false);  // 不使用移动图像梯度滤波器
    metric->SetUseFixedImageGradientFilter(false);   // 不使用固定图像梯度滤波器

    using FixedImageReaderType = itk::ImageFileReader<FixedImageType>;  // 固定图像读取器类型
    using MovingImageReaderType = itk::ImageFileReader<MovingImageType>; // 移动图像读取器类型

    auto fixedImageReader = FixedImageReaderType::New();   // 创建固定图像读取器
    auto movingImageReader = MovingImageReaderType::New(); // 创建移动图像读取器

    fixedImageReader->SetFileName(fixedImageFile);    // 设置固定图像文件名
    movingImageReader->SetFileName(movingImageFile);  // 设置移动图像文件名

    registration->SetFixedImage(fixedImageReader->GetOutput());  // 为配准器设置固定图像
    registration->SetMovingImage(movingImageReader->GetOutput());// 为配准器设置移动图像

    optimizer->SetLearningRate(8.00);          // 设置学习率
    optimizer->SetMinimumStepLength(0.001);    // 设置最小步长
    optimizer->SetNumberOfIterations(200);     // 设置最大迭代次数
    optimizer->ReturnBestParametersAndValueOn();// 启用返回最佳参数和值
    optimizer->SetRelaxationFactor(0.8);  // 设置松弛因子

    // 创建命令观察者并将其注册到优化器
    auto observer = CommandIterationUpdate::New();
    optimizer->AddObserver(itk::IterationEvent(), observer);

    // 无收缩和平滑的单级配准过程
    constexpr unsigned int numberOfLevels = 1;

    RegistrationType::ShrinkFactorsArrayType shrinkFactorsPerLevel;
    shrinkFactorsPerLevel.SetSize(1);
    shrinkFactorsPerLevel[0] = 1;  // 收缩因子(1表示不收缩)

    RegistrationType::SmoothingSigmasArrayType smoothingSigmasPerLevel;
    smoothingSigmasPerLevel.SetSize(1);
    smoothingSigmasPerLevel[0] = 0;  // 平滑 sigma(0表示不平滑)

    registration->SetNumberOfLevels(numberOfLevels);
    registration->SetSmoothingSigmasPerLevel(smoothingSigmasPerLevel);
    registration->SetShrinkFactorsPerLevel(shrinkFactorsPerLevel);

    RegistrationType::MetricSamplingStrategyEnum samplingStrategy = RegistrationType::MetricSamplingStrategyEnum::RANDOM;  // 采样策略:随机
    double samplingPercentage = 0.20;  // 采样百分比(20%)
    registration->SetMetricSamplingStrategy(samplingStrategy);  // 设置采样策略
    registration->SetMetricSamplingPercentage(samplingPercentage);  // 设置采样百分比
    registration->MetricSamplingReinitializeSeed(121213);  // 设置随机数种子(保证结果可重现)

    try
    {
        registration->Update();  // 执行配准
        std::cout << "优化器停止条件: "
            << registration->GetOptimizer()->GetStopConditionDescription()
            << std::endl;
    }
    catch (const itk::ExceptionObject& err)
    {
        std::cerr << "捕获到异常!" << std::endl;
        std::cerr << err << std::endl;
        return EXIT_FAILURE;
    }

    // 输出结果
    TransformType::ParametersType finalParameters = registration->GetOutput()->Get()->GetParameters();  // 获取最终变换参数
    double TranslationAlongX = finalParameters[0];  // X方向平移
    double TranslationAlongY = finalParameters[1];  // Y方向平移
    unsigned int numberOfIterations = optimizer->GetCurrentIteration();  // 实际迭代次数
    double bestValue = optimizer->GetValue();  // 最佳度量值 
    std::cout << std::endl;
    std::cout << "结果 = " << std::endl;
    std::cout << " X方向平移 = " << TranslationAlongX << std::endl;
    std::cout << " Y方向平移 = " << TranslationAlongY << std::endl;
    std::cout << " 迭代次数 = " << numberOfIterations << std::endl;
    std::cout << " 度量值 = " << bestValue << std::endl;
    std::cout << " 停止条件 = " << optimizer->GetStopConditionDescription() << std::endl;

    using ResampleFilterType = itk::ResampleImageFilter<MovingImageType, FixedImageType>;  // 重采样滤波器类型
    auto resample = ResampleFilterType::New();  // 创建重采样滤波器
    resample->SetTransform(registration->GetTransform());  // 设置变换
    resample->SetInput(movingImageReader->GetOutput());    // 设置输入图像
    FixedImageType::Pointer fixedImage = fixedImageReader->GetOutput();  // 获取固定图像
    resample->SetSize(fixedImage->GetLargestPossibleRegion().GetSize());  // 设置输出大小
    resample->SetOutputOrigin(fixedImage->GetOrigin());  // 设置输出原点
    resample->SetOutputSpacing(fixedImage->GetSpacing());  // 设置输出间距
    resample->SetOutputDirection(fixedImage->GetDirection());  // 设置输出方向
    resample->SetDefaultPixelValue(defaultPixelValue);  // 设置默认像素值

    using OutputPixelType = unsigned char;  // 输出像素类型
    using OutputImageType = itk::Image<OutputPixelType, Dimension>;  // 输出图像类型
    using CastFilterType = itk::CastImageFilter<FixedImageType, OutputImageType>;  // 类型转换滤波器类型
    using WriterType = itk::ImageFileWriter<OutputImageType>;  // 写入器类型

    auto writer = WriterType::New();  // 创建写入器
    auto caster = CastFilterType::New();  // 创建类型转换滤波器

    writer->SetFileName(outputImageFile);  // 设置输出文件名
    caster->SetInput(resample->GetOutput());  // 设置转换输入
    writer->SetInput(caster->GetOutput());    // 设置写入输入
    writer->Update();  // 执行写入

    // 生成配准前后的棋盘图
    using CheckerBoardFilterType = itk::CheckerBoardImageFilter<FixedImageType>;  // 棋盘图滤波器类型
    auto checker = CheckerBoardFilterType::New();  // 创建棋盘图滤波器
    checker->SetInput1(fixedImage);  // 设置输入1:固定图像
    checker->SetInput2(resample->GetOutput());  // 设置输入2:重采样后的移动图像
    caster->SetInput(checker->GetOutput());  // 设置转换输入为棋盘图
    writer->SetInput(caster->GetOutput());    // 设置写入输入

    // 配准前的棋盘图(使用恒等变换)
    auto identityTransform = TransformType::New();
    identityTransform->SetIdentity();  // 恒等变换
    resample->SetTransform(identityTransform);  // 使用恒等变换
    writer->SetFileName(checkerboardBeforeFile);  // 设置配准前棋盘图文件名
    writer->Update();  // 写入配准前棋盘图

    // 配准后的棋盘图(使用配准得到的变换)
    resample->SetTransform(registration->GetTransform());  // 使用配准变换
    writer->SetFileName(checkerboardAfterFile);  // 设置配准后棋盘图文件名
    writer->Update();  // 写入配准后棋盘图

    return EXIT_SUCCESS;
}

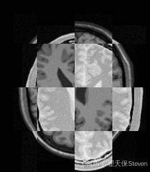
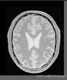
测试效果 

       官方给定的浮动图像在 X 轴方向偏移了 13 像素,Y 轴方向偏移了 17 像素,理想情况下配准结果应该接近这两个值。在实际运行中,优化器会找到最优的变换参数,输出类似如下的结果:

       过程图像如下:

配准后图像

配准前棋盘图

配准后棋盘图

       如果文章帮助到你了,可以点个赞让我知道,我会很快乐~加油!

评论
添加红包

请填写红包祝福语或标题

红包个数最小为10个

红包金额最低5元

当前余额3.43前往充值 >
需支付:10.00
成就一亿技术人!
领取后你会自动成为博主和红包主的粉丝 规则
hope_wisdom
发出的红包

打赏作者

翟天保Steven

你的鼓励将是我创作的最大动力

¥1 ¥2 ¥4 ¥6 ¥10 ¥20
扫码支付:¥1
获取中
扫码支付

您的余额不足,请更换扫码支付或充值

打赏作者

实付
使用余额支付
点击重新获取
扫码支付
钱包余额 0

抵扣说明:

1.余额是钱包充值的虚拟货币,按照1:1的比例进行支付金额的抵扣。
2.余额无法直接购买下载,可以购买VIP、付费专栏及课程。

余额充值