中药是我国独特的卫生资源,在疾病治疗中发挥着重要作用。中药发挥疗效的成分一般是被吸收到血液中的物质,其在体内经代谢后,被吸收到血液中的物质包括:药物中的原型成分、药物代谢产物及药物与系统内物质形成的新成分。这些成分通过多靶点、多系统综合干预人体内源性代谢物治疗疾病,从而发挥中药的疗效(郭思凡., 2022)。代谢组学在癌症、糖尿病、心血管疾病、帕金森病等各种疾病生物标志物挖掘等方面发挥着重要作用,与中医药联系紧密。代谢组学通过对中药及其复方成分的分析,可揭示血清中中药活性物质及其作用和代谢规律。有心的小医通过收集客户问题,发现部分客户在咨询时,都会问到如何通过代谢组进行中药入血的研究,因此本期伯小医就带大家从几篇经典文献案例了解一下中药入血的研究思路。
研究思路
中药入血的研究思路,首先是通过代谢组学技术确定中药药材、方剂等包含多少种药用成分,然后针对不同疾病构建对应的动物模型,接下来就是通过不同的给药方式或给予同种药物的不同剂量,进行模型治疗,通过疗效观察以确定中药治疗的方案,并进一步对其进入体内的成分即入血成分进行解析,寻找药效物质。通过结合网络药理学分析以及转录组、蛋白组、表观组等多组学技术,挖掘出有效药用成分及关键调控机制。最后从病理指标和生理生化指标来验证中药药效分子机理。

案例一:纯代谢组学解析鹿茸大补汤及大鼠血浆中吸收原型和代谢产物的成分

2022年8月25日,延边大学药学院闵俊哲教授团队在Food Research International(IF:7.0)上发表了题为“Comprehensive characterization of the chemical composition of Lurongdabu decoction and its absorbed prototypes and metabolites in rat plasma using UHPLC–Q Exactive Orbitrap–HRMS”的研究性论文。
研究背景
支气管哮喘(BA)病理生理特征是气道慢性炎症和气道高反应性,传统中医已多次尝试通过抑制气道炎症和重塑来治疗支气管哮喘。四象医学理论(SM)将哮喘的病因分为内部和外部原因,主要引起肺部病变。鹿茸可以治疗BA,然而迄今为止,研究鹿茸对气道炎症和气道重塑影响的文章却少之又少。鹿茸大补汤(LRDBD)是一种有效的中国朝鲜族中药方剂,几十年来已被用于BA的临床治疗,其由鹿茸、麻黄、薏苡仁、麦冬、天冬、五味子、山药等8种药材组成。虽然有一些研究报道了鹿茸大补汤的化学成分,但具体发挥作用的成分及其在支气管哮喘治疗中的作用机制尚不清楚。
研究思路

研究结果
1.在LRDBD中鉴定到122种代谢物
利用UHPLC–Q Exactive Orbitrap–HRMS的方法对鹿茸大补汤的成分进行分析,鉴定到了122种代谢物,主要是氨基酸、生物碱、苯丙类、氰化糖苷、黄酮、脂肪酸及其衍生物类物质。


图1 鹿茸大补汤的主要成分(Jin et al., 2022)。
2.LRDBD中鉴定出23种新成分
PCA分析发现,鹿茸大补汤组和单一草药组的PCA明显分离。维恩图显示鹿茸大补汤中检出了23种新成分,这可能是鹿茸大补汤在煎煮过程中发生了水解、氧化或还原反应导致。同时,根据P值小于0.001和FC大于3进行差异代谢物筛选,发现鹿茸大补汤组相比于单一草药组存在39个差异化合物。

图2 鹿茸大补汤和8种单草药的多因素分析(Jin et al., 2022)。
3.大鼠血浆中鉴定到29个LRDBD原型成分和35个代谢物
采集口服鹿茸大补汤4天后的大鼠血浆样本,进行代谢组学分析。在大鼠血浆中鉴定到29个鹿茸大补汤的原型成分,这29个原型成分中有15个原型成分来自鹿茸。进一步对大鼠血浆中16种原型成分转化的35种代谢物进行分析,结果发现,代谢物主要发生了硝基还原、氧化脱氨为醇、去饱和、还原、水化、氧化、脱水、氧化脱氨为酮、去甲基化、乙酰化、甲基化、硫酸化等反应。

图3 被吸收到血液中的LRDBD成分(Jin et al., 2022)。
研究结论
本研究通过UPLC-HRMS的研究方法,将煎煮后的LRDBD、8种单药的成分及大鼠血浆中的入血成分进行分析,在LRDBD中鉴定了122种成分,其中有23种新成分是8种单药中不存在的,LRDBD和8种单一药草之间有39个差异代谢物,在血浆中鉴定出29种原型入血成分和35种代谢产物。本研究结果为进一步发现潜在的药物靶点和揭示LRDBD在哮喘治疗中的作用机制提供了指导。
案例二:结合血清药物化学和网络药理学探讨YSH方减轻慢性肝损伤的作用机制

2024年2月8日,广西中医药大学壮医药学院庞宇舟教授团队在Phytomedicine(IF:6.7)上发表了题为“Integrated serum pharmacochemistry and network pharmacology to explore the mechanism of Yi-Shan-Hong formula in alleviating chronic liver injury”的研究性论文。
研究背景
慢性肝损伤(CLI)是一种比较复杂的疾病,需要有效的治疗干预。依山红(YSH)是一种经验衍生的治疗方法,在治疗慢性肝损伤方面具有安全性和有效性。然而,人们对依山红的生物活性成分和多方面作用机制了解的不是很清楚。
研究思路

研究结果
1.YSH产生25种化合物
首先,作者采用UPLC-Q-TOF-MS方法对大鼠血清样本中可吸收的YSH代谢物进行鉴定,结果鉴定出了25种化合物,包括没食子酸、己内酰胺、黄碱、苯甲酸、维采宁2、夏佛塔苷、异夏佛塔苷、维采宁3、阿魏酸、异槲皮苷、白前苷B、槲皮苷、槲皮素、3-O-甲基槲皮素、毛蕊异黄酮、汉黄芩素、熊果胆酸、紫铆因、脱氨基酪氨酸、甘松酮、熊果苷、单棕榈酸甘油、亚油酸、棕榈酸和豆甾醇等。25种化合物中已有9种被其他研究人员在毛鸡骨草中发现。

图4 在YSH提取物和大鼠血清中鉴定的化合物(Zhao et al., 2024)。
2.治疗CLI的潜在YSH靶点主要集中在PI3K/AKT信号通路
利用TCMSP和ETCM数据库对与25种物质相关的靶基因进行鉴定,结果发现了277个靶基因。并且联合GeneCards和OMIM数据库进行搜索,发现与CLI相关的基因有397个。进一步利用Cytoscape v3.10.0软件构建化合物靶标网络,发现22个靶点可能与YSH的治疗效果有重要关系。最后,通过KEGG通路富集分析,发现这些靶点主要集中在PI3K/AKT信号通路上。

图5 被吸收的YSH物质及其可能的靶点在CLI治疗中的相互作用(Zhao et al., 2024)。
3.YSH通过靶向PI3K/AKT信号通路减轻减轻慢性肝损伤
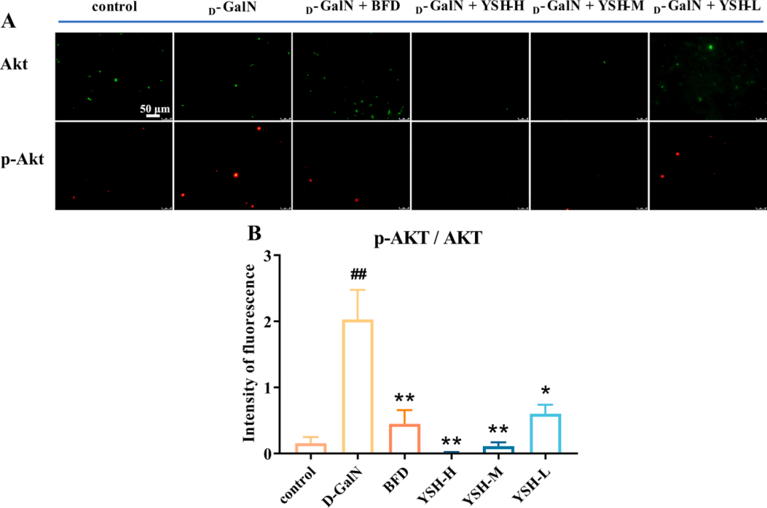
为了证实YSH对CLI的治疗作用,作者建立了CLI大鼠模型,发现YSH可改善大鼠肝功能以及组织病理学的改变。对氧化应激反应相关指标SOD、MDA和GSH-PX及促炎细胞因子TNF-α、IL-1β和IL-6的含量测定,发现YSH可减轻氧化应激和炎症反应。对肝纤维化的程度相关指标HA、PIII和Hyp测定发现YSH可减轻CLI大鼠的纤维化程度。最后免疫荧光实验表明YSH显著抑制D-GalN诱导的CLI引起的大鼠肝脏AKT磷酸化。

图6 YSH对大鼠肝组织中AKT激活的影响(Zhao et al., 2024)。
研究结论
本研究结合血清药物化学和网络药理学的方法来确定了YSH治疗CLI的有效代谢物和功能机制。代谢组学分析发现YSH产生25种化合物。网络药理学及KEGG分析发现治疗CLI的潜在YSH靶点主要集中在PI3K/AKT信号通路内。进一步构建了CLI大鼠模型,验证了YSH可以通过靶向PI3K/AKT信号通路恢复CLI大鼠的肝功能,减轻氧化应激和炎症,抑制肝纤维化。

图7 YSH减轻慢性肝损伤的模式图(Zhao et al., 2024)。
小医叨叨
本篇推文小医意在让大家对中药入血的研究思路有个初步的了解,细心的读者可以发现要探究中药的作用机制,首先需要通过代谢组学技术对中药药材、方剂、及血液中的成分进行分析,找到被吸收到血液中的有效成分,这往往是这类研究的重点所在。如果需要更深的研究则可结合网络药理学分析、转录组、蛋白组、表观组、病理指标和生理生化指标等技术,挖掘验证出有效药用成分及关键调控机制。文章中选取的两篇经典案例,无论是从研究方法、写作思路、结果展示等方面,都可以为从事中药入血成分研究的科研工作者提供很好的思路。
参考文献
1.郭思凡,蔡莹,张爱华.基于代谢组学的中药药效评价、药效物质发现及作用机制研究进展 [J]. 药物评价研究, 2022, 第11期.
2.Yueying J, Shengyu C, Ruobai Liu,et al.Comprehensive characterization of the chemical composition of Lurongdabu decoction and its absorbed prototypes and metabolites in rat plasma using UHPLC–Q Exactive Orbitrap–HRMS [J]. Food Research International, 2022, 161:0963-9969.
3.Xinyi Z, Hua S, Haiyan C,et al.Integrated serum pharmacochemistry and network pharmacology to explore the mechanism of Yi-Shan-Hong formula in alleviating chronic liver injury [J]. Phytomedicine, 2024.
                  
                  
                  
                  
      
          
                
                
                
                
              
                
                
                
                
                
              
                
                
              
            
                  
					2266
					
被折叠的  条评论
		 为什么被折叠?
		 
		 
		
    
  
    
  
            


            